21-04-2026

В ГБУ РО "ГКБСМП" в г. Таганроге успешно оказали помощь пациенту с трансплантированным сердцем при развитии криза отторжения.

Изначально у пациента подозревали панкреатит, однако в ходе дообследования установили, что боли связаны с сердцем. По данным КТ и УЗИ выявлена жидкость в перикардиальной области – признак развивающегося отторжения пересаженного органа.

Пациент перенёс трансплантацию сердца в феврале 2025 года в НМИЦ трансплантологии и искусственных органов им. В.И. Шумакова Минздрава России по поводу дилатационной кардиомиопатии.

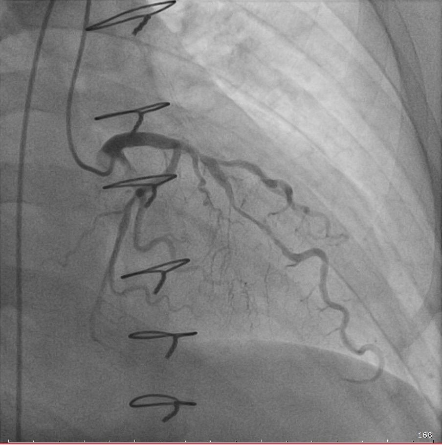
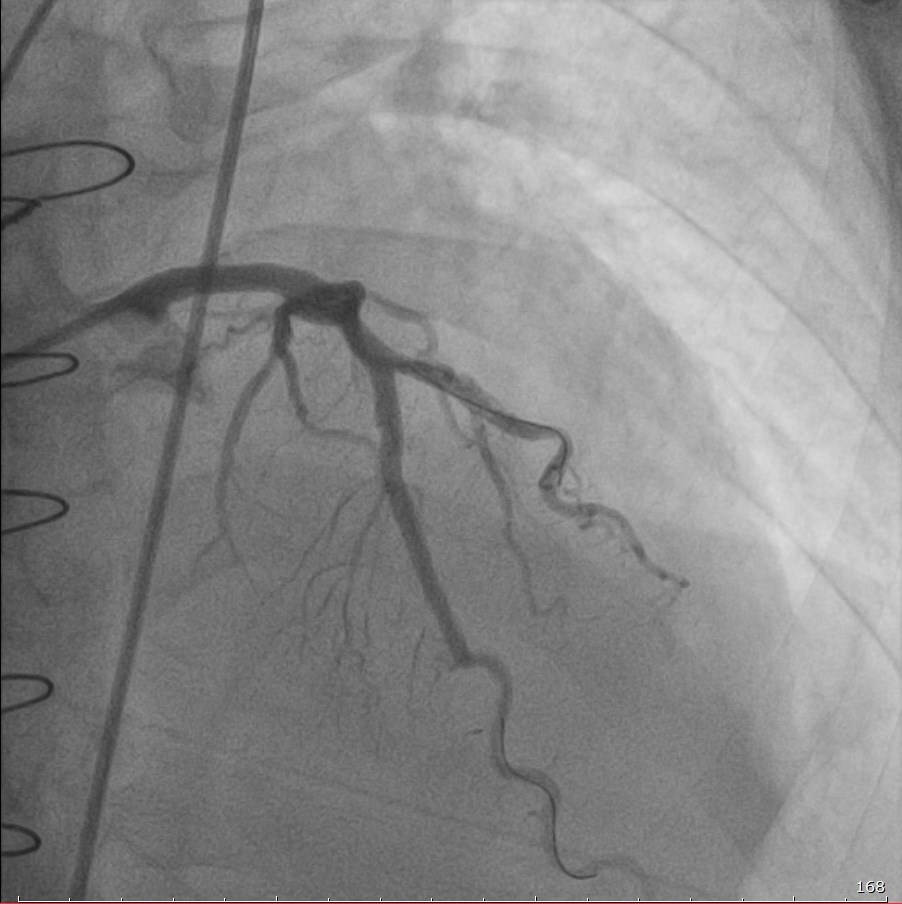
С учётом сложности случая и ранее установленного стента врачи ГКБСМП провели телемедицинскую консультацию с федеральным центром. По рекомендациям специалистов выполнена коронарография и начата гормональная терапия. В ходе вмешательства пациенту имплантированы три стента с лекарственным покрытием, что позволило предотвратить инфаркт и купировать признаки отторжения.

Слаженная работа специалистов позволила сохранить пересаженное сердце и жизнь пациента. В настоящее время его состояние стабильное, он готовится к выписке. Далее пациент продолжит наблюдение в федеральном центре.

Министерство здравоохранения Ростовской области